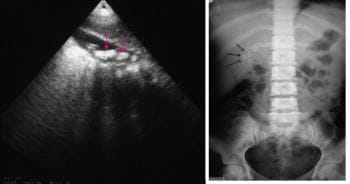
O QUE É COLETÍASE / COLECISTITE?
Cerca de 94% das doenças do trato biliar (vesícula e ductos biliares), estão correlacionadas com a formação de cálculos (“pedras”) dentro da vesícula biliar (Colelitíase ou litíase biliar). Os cálculos biliares atingem de 10 a 20% das pessoas de países desenvolvidos, com maior incidência a partir dos 40 anos de idade, cerca de 50% das pessoas com mais de 70 anos de idade tem ou já tiveram o problema sendo que as mulheres desenvolvem mais litíase biliar do que os homens, talvez, por elas, durante uma faixa etária (durante a menopausa) e/ou ao longo de sua vida, sofrem conseqüências mais severas, por distúrbios hormonais, como problemas de hipercolesterolemia, um dos fatores predisponentes mais importantes para o desenvolvimento desta calculose.
A Colelitíase ou litíase biliar (conhecida vulgarmente como “pedra na vesícula”) é uma doença caracterizada pela formação de cálculos no interior da vesícula Biliar. Os cálculos biliares são formados quando há a saturação de alguns elementos que compõem a bile (colesterol e bilirrubina) e podem passar décadas ocultos sem provocar sintomatologia alguma que possa vir a ser percebida pelo portador do problema.
Geralmente um individuo com litíase biliar só toma conhecimento do problema quando esses cálculos obstruem a saída da bile da vesícula, isso causa dor, inflamação podendo evoluir para uma infecção, esse quadro clinico da doença é chamada de Colecistite, uma urgência médica que pode levar a morte do indivíduo. Habitualmente os quadros de Colecistite são tratados com terapia medicamentosa e repouso, seguidos, após a involução do quadro clínico, da remoção cirúrgica da vesícula biliar (colecistectomia)
As “pedras” também podem migrar para os ductos que comunicam a vesícula com o trato gastrointestinal (TGI) impedindo a passagem da bile e/ou em alguns casos impedindo também a passagem do suco pancreático (causando pancreatite). Clinicamente esse quadro é chamado de Coledocolitíase e é um dos causadores da inflamação aguda do trato biliar (Colecistite) além de também causar lesões hepáticas.
COLELITÍASE OU LITÍASE BILIAR
A litíase biliar apresenta-se com dois tipos diferentes de cálculos, um formado principalmente por cristais de colesterol mono-hidratados e outro formado por cálculos pigmentados constituídos de bilirrubinato de cálcio. Os cálculos de colesterol compreendem a grande maioria dos casos de Colelitíase (cerca de 80%) e são causados por hiper-excreção de colesterol pelo fígado, já os cálculos pigmentados são causados principalmente por hiperbilirrubinemia.
PATOGÊNESE
Os cálculos de colesterol são formados quando a bile torna-se saturada. O colesterol é solúvel na bile devido a sua agregação com os sais biliares e a lecitina, quando há saturação dele na bile, ou seja, quando o fígado passa a excretá-lo em maior quantidade, ele torna-se menos disperso, passando a ficar mais nucleado e concentrado precipitando a formação de cristais de mono-hidratado de colesterol dentro da vesícula onde a bile é armazenada.
Há alguns fatores que elevam à excreção de colesterol como, obesidade, a perda rápida bem como as alteração freqüentes de peso, o uso de contraceptivos principalmente estrogênio, as múltiplas gestações, a menopausa e o diabetes melitus. Todos esses fatores contribuem para a elevação da biosintese de colesterol do fígado, a elevação dos níveis séricos de colesterol e a conseqüente saturação do liquido biliar
Os cálculos pigmentados, menos comuns, podem ser produzidos quando há hemólise intravascular elevada, por aumento da atividade do baço, por problemas de metabolismo do fígado ou doenças caracterizadas por lesões hepáticas. Todos esses são problemas que levam a hiperbilirrubinemia, a principal causa dos cálculos pigmentados. também existe a associação da produção destes cálculos com infecções pela bactéria escherichia coli ou por ascaris lumbricóide.
COLECISTITE
A Colecistite é a inflamação da vesícula biliar que, em cerca de 90% dos casos é causada pela litíase biliar, a presença dos cálculos, pode promover a formação de um empiema da vesícula, associado à infecção e processo inflamatório intenso.
A inflamação ocorre quando, ou a saída da vesícula ou o lúmen dos ductos biliares são obstruídos pelos cálculos onde, a bile remanescente, que não fora expulsa da vesícula, devido a esta obstrução, sofre reações químicas que provocam autólise e em conseqüência a formação de edema. O edema, pode comprometer o suporte sanguíneo, pela compressão da artéria cística, vaso sanguíneo que irriga a vesícula biliar, podendo culminar em necrose gangrenosa da mesma e também em sua perfuração com derrame de secreções nas cavidades corpóreas adjacentes. Secundário ao processo inflamatório também ocorre à infecção das vias biliares, essa infecção é feita principalmente por bactérias entéricas formadoras de gases (60% dos casos), agravado ainda mais a quadro clinico, precipitando o acúmulo de secreções purulentas dentro da vesícula, em alguns casos, acomodando estas secreções em cavidades e tecidos adjacentes além de provocar a produção e acomodação de gases.
COLEDOCOLITÍASE
Coledocolitíase é a presença de “pedras” no interior dos ductos biliares, é o resultado da migração dos cálculos da vesícula para o ducto onde, algumas dessas pedras podem obstruir seu lúmen. Este quadro pode provocar danos ao fígado devido à retenção da bile que nele é produzida. A retenção da bile provoca o acúmulo patológico das substancias que a compõem, no tecido hepático, podendo causar em casos raros, cirrose hepática.
Geralmente nos casos de Coledocolitíase, também ocorre o acumulo de algumas substancias no sangue devido à reabsorção do que não está sendo excretado, manifestando problemas como, hiperbilirrubinemia e/ou hipercolesterolemia.
SINTOMAS
A Colelitíase geralmente não apresenta nenhuma sintomatologia podendo passar décadas despercebida manifestando apenas modestos distúrbios gastrointestinais, porém suas complicações podem manifestar os seguintes sintomas:
DESCONFORTO ABDOMINAL
Ocorre após a ingestão de alimentos ricos em lipídios.
DOR E CÓLICA BILIAR
Observada mais comumente nos casos de Colecistite por causa da inflamação e da infecção das vias biliares. é uma dor na região superior direita do abdome que pode erradia-se para o ombro e/ou costas.
COMPLICAÇÕES
A Colecistite e a Coledocolitíase em si, já são complicações da litíase biliar, por serem problemas decorrentes da formação dos cálculos. A Colecistite geralmente regride após o inicio o tratamento médico más, existem casos extremos em que a inflamação pode progredir de tal modo que tecidos adjacentes podem vir a ser atingidos, manifestando problemas como peritonite secundária local ou generalizada e sepse da cavidade abdominal, inflamação das vias enterais circunvizinhas também pode ser observado em casos mais graves de Colecistite.
A associação entre a inflamação e a infecção das vias biliares podem precipitar a formação de fistulas devido à possível formação de abscesso, comunicando a vesícula biliar com o tubo digestivo. Quando há formação de fistulas, os cálculos biliares migram para o tubo digestivo, esses cálculos são então eliminados nas fezes, más cálculos maiores podem obstruir a válvula ileocecal entre extremidade distal do intestino delgado e o intestino grosso.



